Starożytni Egipcjanie mieli zdrowsze zęby i dziąsła niż większość z nas. Dlaczego? Ten twardy orzech rozgryzają naukowcy, nie swoimi jednak zębami...
Badacze zastanawiają się, dlaczego współcześnie żyjący ludzie mają tyle dziur w zębach i tak często cierpią na parodontozę. Zaglądali więc w zęby nam i naszym przodkom oraz porównali dietę i styl życia ludzi żyjących w różnych czasach i wpadli na trop. Okazuje się, że nasze szczęki i zęby nie są przystosowane do powszechnego dzisiaj sposobu odżywiania – nie służy im spożywanie miękkich, słodkich pokarmów (przecierane papki, bułki, mielone kotlety, pizza...) oraz picie słodkich napojów gazowanych. Najlepszy dla naszych zębów i dziąseł jest pokarm, jakim odżywiali się nasi przodkowie zbieracze. Twarde ziarno, orzechy, surowe bulwy roślin, owoce i włókniste mięso wymagało długiego żucia, co ludziom wychodziło na zdrowie.
Bioarcheolodzy, którzy w poszukiwaniu dziur w zębach przebadali tysiące kopalnych szczęk naszych przodków, stwierdzili występowanie ubytków w zaledwie 2% przebadanych siekaczy, kłów, przedtrzonowców i trzonowców należących do ludzi żyjących ponad 20 000 lat temu, podczas gdy dzisiaj trudno znaleźć człowieka, o którego nie upominałby się dentysta. W prehistorycznych szczękach niezmiernie rzadko występowały również wady zgryzu. Ten niemal idealny stan uzębienia gwałtownie pogorszył się około 13 000 lat temu, początkowo na Bliskim Wschodzie a następnie w innych regionach świata. Miało to związek z rozwojem rolnictwa i uprawą zbóż. W tym czasie u około 9% rolników stwierdzono dziury w zębach – efekt spożywania zbóż (również w postaci chleba) zasobnych substancje o charakterze cukrów.
Zwyczaj przeżuwania ziarna oraz twardych, razowych wypieków przez starożytnych Egipcjan miał jeszcze jedną zaletę. Żucie pobudzało rozwój tzw. wyrostka zębodołowego – kości w szczęce dolnej, w której osadzone są zęby. Dzięki intensywnemu przeżuwaniu starożytni Egipcjanie mieli bardziej rozrośnięte szczęki dolne niż my, a w konsekwencji szczycili się prawidłowym zgryzem – ich zęby dolne i górne stykały się górnymi krawędziami, podczas gdy u większości współczesnych ludzi zęby górne zachodzą na dolne wskutek niedorozwoju szczęki dolnej. Małym dzieciom zamiast bułek, papek i słodkich batonów lepiej więc podawać surową marchewkę. Nabiorą wtedy prawidłowych nawyków zaczerpniętych od starożytnych Egipcjan – będą gryźć, a nie tylko przełykać papki. Warto bowiem pamiętać, że, poza kwestiami estetyki, nieprawidłowy zgryz niesie ze sobą inne negatywne skutki. Na przykład nieprawidłowy kontakt między zębami górnymi i dolnymi (brak podparcia) może prowadzić do ich wysuwania się z dziąseł i chorób przyzębia. Natomiast wąska szczęka oznacza zbyt ciasne upakowanie zębów, co utrudnia ich czyszczenie i rodzi zagrożenie próchnicą.
Bioarcheolodzy poszukujący „starożytnych dziur w zębach” stwierdzili, że ponowne pogorszenie ludzkiego stanu uzębienia przypadło na IV wiek przed naszą erą, kiedy to Aleksander III Macedoński zwany Wielkim przywiózł do Europy cukier. Ludzie rozkochali się w cukrze, choć początkowo jednak dostęp do niego mieli tylko najbogatsi i to właśnie oni mieli najwięcej dziur w zębach. Kolejne, tym razem wręcz szokujące pogorszenie się stanu zębów i dziąseł stwierdzono u XVIII-wiecznych Europejczyków. Było to następstwem Rewolucji Przemysłowej i zastosowaniem maszyn parowych do produkcji cukru, który stał się dostępny dla wszystkich, również dla najuboższych. Stan zębów w tym czasie był podobno zatrważający.
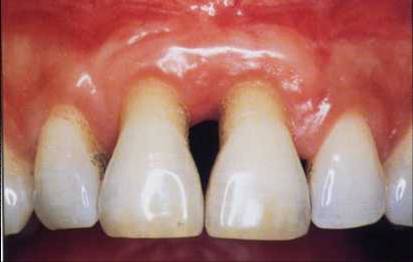
A jak jest dzisiaj? Częściej odwiedzamy dentystę, coraz więcej osób chodzi też w aparatach ortodontycznych. Z zębami nie jest jednak dobrze. Dieta bogata w cukry i niewystarczające żucie pokarmów zbierają swoje żniwo. Trudno znaleźć człowieka bez dziury, paradontoza sieje spustoszenie, a bolesne wyrzynanie się zębów mądrości, a nawet trzecich zębów trzonowych, też nie należy do rzadkości i świadczy o niedorozwoju ludzkich szczęk.
Nie ma jednak co załamywać rąk. Mamy dostęp do najlepszego w historii arsenału narzędzi do czyszczenia zębów i przestrzeni wokół nich (szczoteczki, nici, płyny) i powinniśmy z niego korzystać. A dodatkowo może zamiast przełknąć batona, lepiej schrupać kawałek marchewki?
Autor:
dr Magdalena Puczko
Instytut Geofizyki PAN
Źródło:
Gibbons A. 2012. An Evolutionary Theory of Dentistry. Science, Vol. 336 no. 6084 pp. 973-975

